
高尿酸血症性肾病 (HN) 是一种全身代谢紊乱,其特征是尿酸 (UA) 代谢功能障碍,导致高尿酸血症 (HUA) 和肾小管间质纤维化 (TIF)。达格列净(dapagliflozin)作为SGLT2抑制剂,能改善高尿酸血症引起的肾纤维化。
作者通过对患者、HN 小鼠和 UA 刺激的 HK-2 细胞进行组织学、生化和转录组分析,研究了 HN 的功能、病理和分子变化。研究发现,dapagliflozin能减轻肾纤维化,提高肾功能,通过激活ERRa调节尿酸转运蛋白,增加尿酸排泄,缓解肾小管损伤和管周间质纤维化,恢复线粒体功能。研究指出,ERRa-OAT1轴在高尿酸血症肾纤维化的发病机制中至关重要,是潜在的治疗靶点。

●HN 患者和 HN 小鼠模型都存在肾纤维化和肾功能损害。
●达格列净可以减轻 HN 患者和 HN 小鼠模型的肾纤维化和肾功能损害。
●达格列净可能通过调节尿酸转运蛋白的表达来改善 HN。
●达格列净可以激活 ERRα,进而调节尿酸转运蛋白(如 OAT1)的表达,增强尿酸排泄。
●达格列净可以恢复线粒体功能,从而减轻肾小管损伤和 TIF。
●ERRα-OAT1 轴在 HN 发病机制中至关重要。
●达格列净通过激活 ERRα-OAT1 轴减轻 HN 的肾纤维化和肾功能损害。
●达格列净可能对非糖尿病肾病也具有治疗作用。
本文采用了人体肾脏活检标本和组织学分析、小鼠模型构建和治疗、细胞培养和细胞功能分析、RNA-seq、ChIP-seq、蛋白质印迹、免疫荧光等分子免疫分析技术及生物信息学分析方法等一系列体内和体外实验进行研究,具体阐述如下:
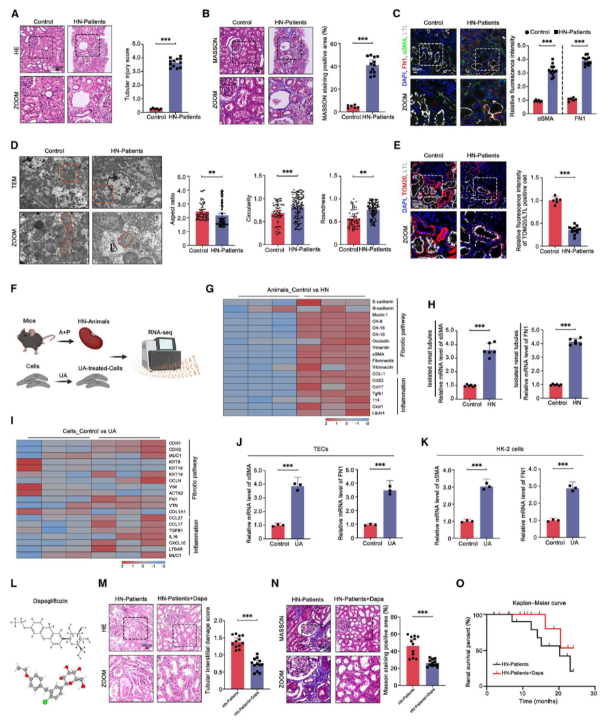
达格列净减轻了肝性脑病(HN)患者的肾功能不全和纤维化
图1.达格列净对HN患者肾脏纤维化的影响
作者对 HN 患者和 HN 小鼠模型的肾脏进行组织学分析,包括 H&E 染色、Masson 染色、免疫荧光染色和透射电镜观察。对 HN 小鼠模型的肾脏进行 RNA-seq 分析,并使用 qRT-PCR 验证关键基因的表达。使用达格列净治疗 HN 患者,并观察其肾脏病理变化和肾功能指标。得出以下结论:
① HN 患者和 HN 小鼠模型都存在严重的肾小管损伤、肾纤维化和线粒体功能障碍。
② 达格列净可以显著改善 HN 患者和 HN 小鼠模型的肾纤维化和肾功能损害。
③ HN 患者和 HN 小鼠模型的肾脏中尿酸转运蛋白的表达下调,这可能是 HN 发病机制的关键因素之一。
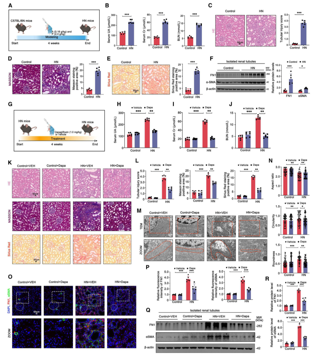
图2.达格列净对HN小鼠肾脏纤维化的影响
作者建立 HN 小鼠模型,使用腺嘌呤和钾氧酸盐进行口服灌胃,使用达格列净或别嘌醇治疗 HN 小鼠模型。随后对小鼠进行组织学分析,包括 H&E 染色、Masson 染色和透射电镜观察。检测小鼠的血清尿酸、肌酐和尿素氮水平;对小鼠肾组织进行免疫荧光染色,检测纤维化标志物 aSMA 和 FN1 的表达;对小鼠肾组织进行透射电镜观察,评估线粒体形态和结构;使用 qRT-PCR 检测小鼠肾组织中纤维化和炎症标志物的表达。得出以下结论:
① HN 小鼠模型表现出严重的肾功能不全和纤维化,包括肾小管损伤、胶原沉积和线粒体功能障碍。
② 达格列净可以显著改善 HN 小鼠模型的肾功能和纤维化,与别嘌醇的治疗效果相当。
③ 达格列净可以下调 HN 小鼠模型肾组织中纤维化标志物 aSMA 和 FN1 的表达。
④ 达格列净可以改善 HN 小鼠模型肾组织中线粒体的形态和结构。
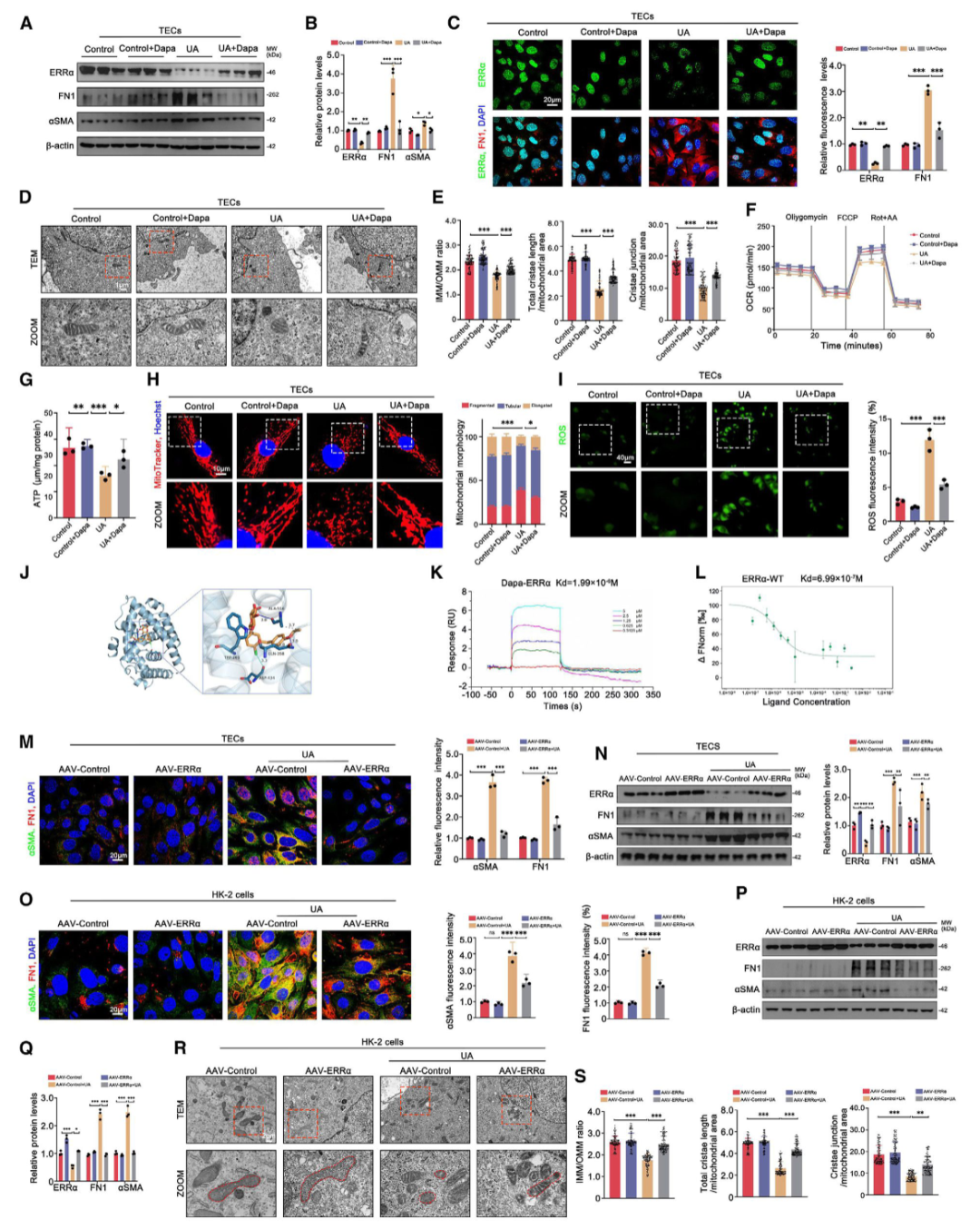
达帕格列净可恢复 HN 小鼠和 HN 患者体内 ERRa 的表达
图3.达格列净或ERRa过表达对UA处理的TECs和HK-2细胞的影响
作者使用 UA 刺激 HK-2 细胞,模拟 HN 体外模型;使用达格列净治疗 UA 刺激的 HK-2 细胞;使用 CCK-8 实验检测达格列净对 HK-2 细胞增殖的影响;使用WB和IF检测 UA 和达格列净对 HK-2 细胞中纤维化标志物 (aSMA 和 FN1) 表达的影响;使用透射电镜观察 UA 和达格列净对 HK-2 细胞中线粒体形态和结构的影响;使用 Seahorse 细胞能量代谢分析仪检测 UA 和达格列净对 HK-2 细胞线粒体功能的影响;使用分子对接、CETSA 和 DARTS 实验验证达格列净与 ERRα 的相互作用;使用表面等离子共振和微尺度热泳分析测定达格列净与 ERRα 的结合亲和力;构建 AAV-ERRα 慢病毒载体,过表达 ERRα,并检测其对 UA 刺激的 HK-2 细胞的保护作用。得出以下结论:
① 达格列净可以减轻 UA 刺激的 HK-2 细胞的纤维化改变和线粒体功能障碍。
② 达格列净可以上调 UA 刺激的 HK-2 细胞中 ERRα 的表达,并改善线粒体形态和功能。
④ 过表达 ERRα 可以保护 UA 刺激的 HK-2 细胞免受损伤,并减轻纤维化改变。
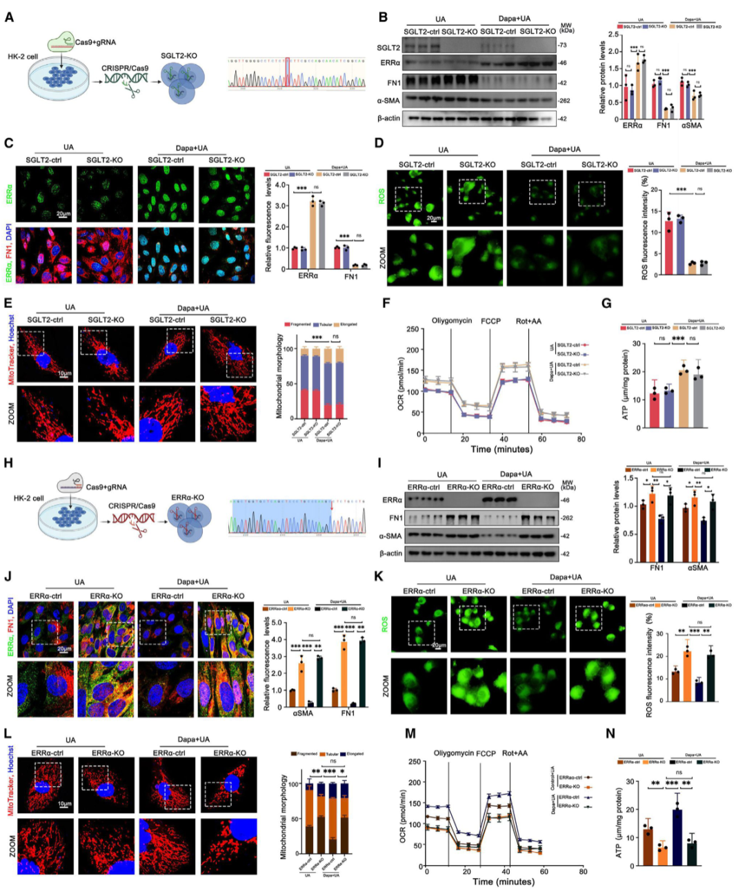
达帕格列净激活ERRo,保护TEC和HK-2细胞免受UA诱导的损伤
图4. 达格列净对 UA 处理的 SGLT2- 或 ERRa-KO HK-2 细胞的影响
作者构建 SGLT2 敲除 (KO) 的 HK-2 细胞系和 ERRa KO 的 HK-2 细胞系。使用 UA 刺激 SGLT2 KO 细胞和 ERRa KO 细胞;使用达格列净治疗 SGLT2 KO 细胞和 ERRa KO 细胞;使用WB和IF技术检测 UA 和达格列净对 HK-2 细胞中纤维化标志物 (aSMA和 FN1) 表达的影响。使用透射电镜观察 UA 和达格列净对 HK-2 细胞中线粒体形态和结构的影响;使用 OCR 分析检测 UA 和达格列净对 HK-2 细胞线粒体功能的影响。使用 XCT-790 (ERRa 拮抗剂) 处理 HK-2 细胞,检测其对 UA 刺激的 HK-2 细胞的影响。得出以下结论:
① 达格列净可以减轻 UA 刺激的 HK-2 细胞的纤维化和线粒体功能障碍,即使 SGLT2 被敲除。
③ ERRa 敲除会削弱达格列净的治疗效果,导致 HK-2 细胞更容易受到 UA 刺激的损伤。
④ XCT-790 会抑制 ERRa 表达,并加剧 UA 刺激的 HK-2 细胞的损伤。
肾小管特异性ERRa过表达可减轻HN小鼠的肾功能障碍和纤维化
图 5. HN 小鼠肾小管特异性ERRa 过表达的影响
作者构建 ERRa 过表达的 HN 小鼠模型 (ERRa ptKI)。对小鼠进行组织学分析,包括 H&E 染色、Masson 染色和 Sirius Red 染色;检测小鼠的血清尿酸、肌酐和尿素氮水平;对小鼠肾组织进行免疫荧光染色,检测纤维化标志物 aSMA 和 FN1 的表达;对小鼠肾组织进行透射电镜观察,评估线粒体形态和结构;使用 qRT-PCR 检测小鼠肾组织中纤维化和炎症标志物的表达。得出如下结论:
① ERRa 过表达的 HN 小鼠模型肾组织病理改变和肾功能指标显著改善。
② ERRa 过表达可以减轻 HN 小鼠模型肾组织的胶原沉积、肾小管损伤和线粒体功能障碍。
③ ERRa 过表达可以下调 HN 小鼠模型肾组织中纤维化标志物 aSMA 和 FN1 的表达。
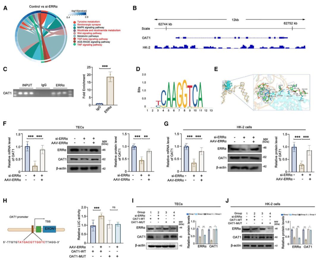
图6. HK-2 细胞中的ERRa-OAT1 轴
作者使用 ChIP-seq 和免疫沉淀技术验证 ERRa 与 OAT1 基因启动子的结合;使用 JASPAR 数据库预测 ERRa 结合位点;使用蛋白质-DNA 结合模拟验证 ERRa 与 OAT1 基因的结合模式;使用 siRNA 和 AAV 过表达技术验证 ERRa 对 OAT1 表达的调节作用;使用双荧光素酶报告基因实验验证 ERRa 与 OAT1 基因启动子的相互作用;使用WB验证 ERRa 对 OAT1 蛋白表达的调节作用。得出如下结论:
① ERRa 可以直接结合 OAT1 基因启动子并上调其转录。
② ERRa 过表达可以挽救 siRNA 介导的 OAT1 表达下调。
③ ERRa 可以直接结合 OAT1 基因启动子上的特定序列,并激活其转录。
达格列净通过激活ERRa-OAT1轴改善HN肾和UA处理肾小管细胞的纤维化变化
图7. 达格列净对 HN 或 UA 条件下肾小管细胞中 OAT1 表达的影响
作者收集 HN 患者的肾脏活检标本和血清样本后,使用IF染色和 WB 检测 HN 患者和 HN 小鼠模型中 OAT1 的表达;使用 IF 染色和 WB 检测达格列净对 HN 患者和 HN 小鼠模型中 OAT1 表达的影响;使用 IF 染色和 WB 检测 OAT1 过表达对 UA 刺激的 HK-2 细胞的影响;使用 WB 检测 OAT1 过表达对 ERRa 表达的影响。得出如下结论:
① HN 患者和 HN 小鼠模型中 OAT1 表达下调。
② 达格列净可以上调 HN 患者和 HN 小鼠模型中 OAT1 的表达。
③ OAT1 过表达可以减轻 UA 刺激的 HK-2 细胞的纤维化改变。
达格列净减轻非HN CKD小鼠模型和高葡萄糖或 TGF-β处理的 TEC 模型的纤维化变化
作者建立了非HN CKD 小鼠模型,包括高脂饮食(HFD)、单侧输尿管梗阻(UUO)和 db/db 小鼠模型。使用达格列净治疗这些 CKD 小鼠模型;对小鼠进行组织学分析,包括 H&E 染色、Masson 染色和 Sirius Red 染色;检测小鼠的血清尿酸、肌酐和尿素氮水平;对小鼠肾组织进行免疫荧光染色,检测纤维化标志物 aSMA 和 FN1 的表达;对小鼠肾组织进行透射电镜观察,评估线粒体形态和结构;使用 qRT-PCR 检测小鼠肾组织中纤维化和炎症标志物的表达。得出如下结论:
① 达格列净可以减轻非 HN CKD 小鼠模型的肾纤维化和肾功能损害。
② 达格列净可以改善 HFD、UUO 和 db/db 小鼠模型肾小管损伤和纤维化。
③ 达格列净可以改善 HFD、UUO 和 db/db 小鼠模型肾组织线粒体形态和结构。
④ 达格列净可以下调 HFD、UUO 和 db/db 小鼠模型肾组织中纤维化标志物 aSMA 和 FN1 的表达。
⑤ 达格列净可以改善高糖或 TGF-β 处理的 TEC 模型中细胞损伤和纤维化。
注:双荧光素酶报告分析由金开瑞合作完成,证实了 ERRa 与 OAT1 基因启动子的相互作用,为 ERRa 通过激活 OAT1 基因来调节尿酸排泄提供了直接证据

参考文献:
The SGLT2 inhibitor dapagliflozin ameliorates renal fibrosis in hyperuricemic nephropathy. Cell Rep Med, 2024 Aug 20.
武汉金开瑞生物工程有限公司成立于2013年8月,是一家专业致力于为全球制药企业、诊断试剂企业、科研试剂研发企业、高校和科研院所以及大型医院提供核酸和蛋白及相关研究技术服务的高新技术企业。
金开瑞极其注重平台技术提升,现已有多项自主知识产权和软件著作权专利,并已通过ISO9001质量管理体系认证,2018获批“千企万人”支持计划。
公司以分子生物学中心、基础生物医学实验中心、蛋白抗体中心和“细胞外囊泡”研究中心为依托,提供核酸和蛋白的整体研究方案,与众多科研单位携手开展了大量的探索项目。截止到目前,已支持客户发表科研论文达1300+篇,累计影响因子6000+。
我司至今已举行五季近百场直播,旨在突破距离和时间的掣肘,为生物医药科研领域的专家学者们搭建便捷的线上交流平台,"零距离“进行深度沟通与探讨,助力生物医药行业可持续、高质量发展,探索研究新思路。