12 年
手机商铺
公司新闻/正文
383 人阅读发布时间:2025-06-06 15:10
HPDENs为天然光敏剂的临床应用提供了新思路,其制备工艺(尺寸排阻色谱+超速离心)可规模化,且成本低于合成纳米载体,具有较高的产业化前景。传统光敏剂(如卟啉类、氯素e6)存在水溶性差、肿瘤靶向性低等问题,而HPDENs通过植物外泌体的天然靶向性(如肿瘤高通透性和滞留效应)和纳米尺寸(67 nm)优化了药物递送效率。
本研究首次揭示植物外泌体可作为光敏剂载体,并证实其光合成分(如类囊体膜蛋白)可能增强ROS生成,为其他植物源性纳米药物的开发提供了范例。证实食用菌纳米囊泡可通过"抗氧化-造血系统保护-器官损伤修复"多通路发挥辐射防护作用,为膳食来源纳米囊泡的跨物种调控机制提供新证据。开发新型天然辐射防护剂(相比化学防护剂Leucogen副作用更低),为功能性食品开发提供纳米载体新选择。
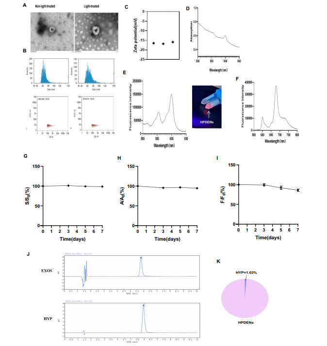
通过尺寸排阻色谱(SEC)和超高速离心方法从天然植物贯叶连翘中获得外泌体样纳米囊泡。光照(510-670 nm LED 光,30 分钟)和未光照的 HPDENs 表现出双层杯盘结构(图 1A),平均粒径约为 67±3.13 nm(图 1B),zeta 电位为 - 16.4±0.28 mV(图 1C)。对光处理和非光处理的 HPDENs 进行了详尽的蛋白质组学分析。研究共获得 61 种差异表达蛋白,包括 25 种上调和下调蛋白。对 HPDENs 进行了 miRNA 测序分析( 1D-F),结果表明在光照后 82 种 miRNA 表达差异,其中 11 种上调,71 种下调。HPDENs 在 598 nm 处表现出最大吸收(图 1D)。此外,荧光分光光度计显示 HPDENs 是自荧光的,并在极性溶剂如 PBS 中表现出荧光特性,表明这些外泌体有可能作为天然成像剂(图 1E 和 F)。将制备的 HPDENs 在 4°C 避光环境中储存 7 天进行稳定性测试。测量相对粒径分布(S/(S/S₀×100%) 图 1G)和紫外 - 可见吸收强度(A/(A/A₀×100%) 图 1H),在测试期间保持一致。然而,相对荧光强度(F/(F/F₀×100%)×100%)随时间略有下降(图 1I)。为了更深入地了解 HPDENs 的组成,采用了高效液相色谱(HPLC)分析(图 1J)。色谱结果显示 HPDENs 和金丝桃素的保留时间相同,为 HPDENs 中存在金丝桃素提供了令人信服的证据。通过外标法对 HPDENs 中的金丝桃素相对于金丝桃素标准品进行定量,得到比例为 1:97.05(1.03%)(图 1K)。这种细致的分析证实了金丝桃素在 HPDENs 中的封装,揭示了它们在靶向药物递送和成像方式中的潜在应用。

图1.HPDEN 的特征
为了研究 HPDENs 作为天然光敏剂的潜力,使用 SOSG 评估单线态氧的产生,SOSG 是一种与单线态氧反应时发出绿色荧光的特异性探针。实验包括三组:PBS 作为对照组,金丝桃素(HYP)组作为阳性对照组,HPDENs 作为实验组,结果表明,随着光照时间的延长,HPDENs 的单线态氧产生显著增加,比 HYP 组高 69.98 倍。相比之下,在 PBS 和 HYP 组中检测到的单线态氧极少,表明 HPDENs 作为 II 型光敏剂起作用(图 2A)。随着光照时间的延长,HPDENs 的单线态氧产生显著增加。
随后研究了光激活后超氧阴离子的生成。实验设计PBS、HYP 和 HPDENs 组,随着光照时间的增加,HYP 和 HPDENs 组的荧光强度都有所上升(图 2B)。使用羟苯基荧光素(HPF)作为探针对羟基自由基的生成进行了研究。结果显示,随着光照时间的增加,HPDENs 和 HYP 组产生了高细胞毒性的羟基自由基,HPDENs 组的羟基自由基产生量比 HYP 组高 2.75 倍(图 2C)。最后,使用探针 DCFH-DA 探索了总 ROS 的产生。研究结果表明,随着光照时间的增加,HYP 和 HPDENs 组都产生活性氧。光照 20 分钟后,HPDENs 组的总 ROS 产生量比 HYP 组高 1.18 倍(图 2D)。实验结果表明,HPDENs 表现出 I 型和 II 型光敏剂的特性(图 2E)。

图2.HPDEN 具有光敏特性
我们继续研究了光动力 HPDENs 对人黑素瘤细胞 WM-266-4 细胞的体外抑制作用。发现共培养后细胞成功摄取了 HPDENs,在细胞内建立了重要的治疗时间框架(图 3A 和 B)。我们检查了光动力 HPDENs 对细胞活力的影响。外泌体与细胞共培养 12小时后,我们使用 590 nm、4 mW/cm² 的 LED 光以不同的能量强度照射细胞(图 3C)。光照后细胞存活率呈光剂量/浓度依赖性下降(IC₅₀=6.669 μg/mL)(图 3D-F)。
我们开始分析 WM-266-4 细胞的 ROS 产生和凋亡情况,结果显示,非光照和光照的 PBS 组中 ROS 水平没有显著增加。然而,光照处理的 HYP 组和 HPDENs 组的 ROS 水平显著升高(图 3G)。值得注意的是,HPDENs 组的荧光强度比 HYP 组高 1.42 倍,这与之前 HPDENs 组总 ROS 比 HYP 组高 1.36 倍的发现一致(图 3H)。在此之后,我们研究了光动力治疗后 HPDENs 对黑素瘤细胞凋亡的影响。流式细胞术结果表明,光动力治疗后,HYP 组和 HPDENs 组的 Annexin V 表达显著增加,突显了细胞凋亡的明显诱导。相比之下,PBS 组没有观察到变化(图 3I 和 J)。蛋白质免疫印迹结果显示,与其他组相比,HPDENs + 光照组的 WM-266-4 细胞中 Caspase 3 和 Bax 的表达显著增加(图 3K 和 L)。这些发现证实,HPDENs 与光动力治疗的结合导致肿瘤细胞内 ROS 水平大幅升高,从而诱导细胞凋亡。

图3. HPDEN 对肿瘤细胞的光动力学影响
为了阐明 HPDENs 的体内抗肿瘤潜力,我们在裸鼠中建立了初始体积约为 100 mm³ 的肿瘤。然后将小鼠静脉注射 PBS、HYP(0.25 mg/kg)和 HPDENs(1 mg/kg),随后分为光照和非光照治疗组进行光动力治疗。光动力治疗 15 天后,在光照处理的 HYP 和 HPDENs 组中观察到可见的肿瘤坏死,而在非光照处理和光照处理的 PBS 组中没有观察到显著变化(图 4A)。在 15 天的时间里,体重保持稳定(图 4B)。值得注意的是,光照处理的 HYP 和 HPDENs 组的肿瘤组织生长明显受到抑制,与非光照处理组和光照处理的 PBS 组相比,体积显著更小(图 4C 和 D)。HE 染色显示,未照射和照射的 PBS 组几乎没有坏死,肿瘤细胞呈巢状排列。相比之下,照射的 HYP 和 HPDENs 组表现出明显的坏死区域(图 4E)。TUNEL 染色显示,光照处理的 HYP 和 HPDENs 组的凋亡肿瘤细胞增加,而未照射和 PBS 组的凋亡肿瘤细胞较少(图 4F 和 G)。这些发现突出了 HPDENs 在体内强大的抗肿瘤功效。

图4.HPDEN 体内 PDT 的抗肿瘤作用
为了评估 HPDENs 在体内光动力治疗后的生物相容性,我们对注射 PBS 和 HPDENs 的裸鼠的心脏、肝脏、脾脏、肺和肾脏进行了苏_木_精 - 伊红(HE)染色和切片。结果显示,注射 PBS 或 HPDENs 的小鼠的主要器官没有明显损伤(图 5A)。随后进行血清分析以评估肝肾功能,结果显示 HPDENs 组和 PBS 组之间没有显著差异,所有肝肾功能生物标志物均在正常范围内(图 5B)。这些发现表明,向裸鼠注射 HPDENs 不会导致可观察到的器官损伤或肝肾毒性,从而表明 HPDENs 具有良好的生物相容性。能够减轻辐射对小鼠机体的损伤,延长小鼠的生存时间。

图5. HPDEN 的生物相容性
我们提出了一种多功能的新型植物来源光敏剂,即源自贯叶连翘的 HPDENs,其具有光动力特性和荧光成像能力。HPDENs 表现出 I 型和 II 型双重光敏剂特性,能强有力地产生活性氧(ROS),在体外显著降低黑素瘤细胞活力并促进细胞凋亡增加。体内研究进一步证明了 HPDENs 在靶向和抑制肿瘤生长方面的功效,且不会诱导器官毒性(图 6)。这些发现值得进一步探索 HPDENs 在靶向药物递送和光动力治疗方式中的潜在应用。

图6. 肿瘤 PDT 过程中 HPDEN 的示意图
本研究提出贯叶连翘来源的外泌体样纳米囊泡(HPDENs)作为光动力疗法(PDT)的新型光敏剂,其显示出增强的活性氧(ROS)产生,并解决了游离金丝桃素的关键限制,如溶解性差、生物利用度低和肿瘤选择性不佳等问题。与传统的基于金丝桃素的疗法相比,HPDENs 具有更高的稳定性、靶向递送能力和生物相容性。然而,进一步研究它们与肿瘤微环境(包括免疫细胞和基质细胞)的相互作用至关重要,以充分阐明其作用机制并优化其在 PDT 中的临床适用性。
文献:Ma X, Chen N, Zeng P, He Y, Zhang T, Lu Y, Li Z, Xu J, You J, Zheng Y, Wang L, Luo M, Wu J. Hypericum Perforatum-Derived Exosomes-Like Nanovesicles: A Novel Natural Photosensitizer for Effective Tumor Photodynamic Therapy. Int J Nanomedicine. 2025 Feb 4;20:1529-1541.