武汉金开瑞生物工程有限公司品牌商

12

手机商铺

qrcode
商家活跃:
产品热度:
  • NaN
  • 0.5
  • 0.5
  • 1.5
  • 0.5

公司新闻/正文

【文献解读】热点!外泌体蛋白质组学精选好文,请收入囊中!

597 人阅读发布时间:2018-11-07 11:09

题目:Involvement of serum-derived exosomes of elderly patients with bone loss in failure of bone remodeling via alteration of exosomal bone-related proteins
期刊:Aging Cell
影响因子:7.627
主要技术:TMT
研究背景
骨质疏松和骨质缺乏影响着人们的身体健康,尤其是老年人。骨再生机制出现问题是引起骨质疏松和骨质缺乏的主要原因。破骨细胞分化和成骨细胞形成是促进骨骼再生的关键,膜整联蛋白、Wnts 和TGFβ等可调节破骨细胞分化和成骨细胞形成。
研究内容及结果
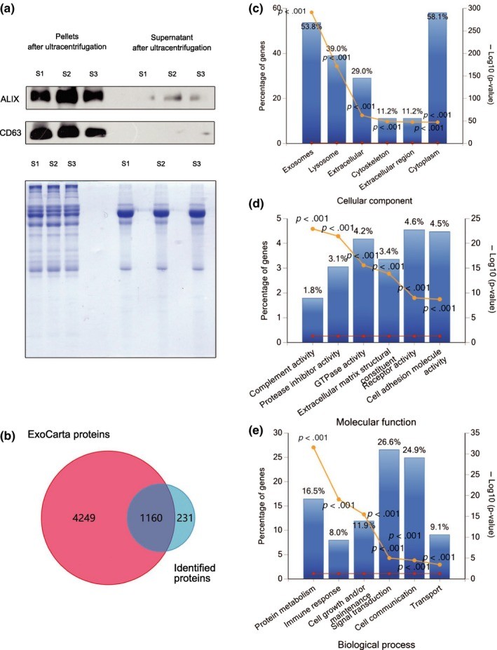
1. 血清外泌体(SDE)提取及蛋白质组学定量
作者从骨质疏松症患者、骨质缺乏症患者和正常志愿者血清中提取外泌体,并使用TMT蛋白质组学技术进行定量分析(图1)。为了确认外泌体组分并验​​证所鉴定蛋白质的外泌体来源,作者利用WB检测外泌体表面marker CD63ALIX在超速离心后混合血清样品上清液和沉淀中的表达水平(图2A)。本次共鉴定到1371种蛋白质,其中和外泌体数据库ExoCarta比对发现有1160个重叠(图2B),GO功能注释结果表明大多数鉴定的蛋白来源于细胞质,对受体活性、细胞粘附分子活性和GTP酶活性的分子功能发挥重要作用,并参与信号转导、细胞通讯和蛋白质代谢,与外泌体具有一致的生物学功能(图2C-E)。这表明从血清中纯化外泌体是成功的。此外,本次共筛选出585个骨质疏松症差异蛋白(131/127,包括225个上调蛋白和360个下调蛋白;116个骨质缺乏症差异蛋白(130/127),包括110个上调蛋白和6个下调蛋白。
【文献解读】热点!外泌体蛋白质组学精选好文,请收入囊中!
1 实验技术路线
【文献解读】热点!外泌体蛋白质组学精选好文,请收入囊中!
图2 SDE蛋白质组学定量结果
2. 骨质疏松症和骨质缺乏症中外泌体蛋白的不同表达趋势和中枢调节因子
为了揭示骨质疏松症和骨质缺乏症中外泌体蛋白质表达水平的差异,作者进行了层次聚类分析(图3AC),发现在Cluster 1中骨质疏松症差异表达蛋白(DEPs)(131/127)的表达水平显著低于骨质缺乏症。富集分析显示Cluster 1骨质疏松症DEPs主要参与粘着斑、G蛋白信号传导和钙肌动蛋白细胞骨架途径的调节。在Cluster2中,骨质疏松症和骨质缺乏症参与TGF-β信号传导途径的蛋白下调趋势相似。此外,富集分析显示骨质缺乏症DEPs主要参与细胞质核糖体蛋白途径、细胞分化和高度动态的代谢过程。这些发现表明,SDE根据其起源和骨骼健康状况在骨重建过程中发挥多种功能。
为了揭示DEPs之间潜在的相互作用,作者又进行蛋白互作网络分析,在骨质疏松症的DEPs中(图3B),下调蛋白质ITGβ1ITGβ3CD34处于互作中心。这些蛋白质可能调节超过六种DEP,其中大部分参与细胞骨架组织、细胞粘附和机械感觉中的整合素信号传导。骨质缺乏症中处于互作中心的是上调蛋白质APPNCLVCAN,参与细胞粘附、与破骨细胞形成的蛋白质相互作用。
【文献解读】热点!外泌体蛋白质组学精选好文,请收入囊中!
图3  DEPs层次聚类分析和蛋白互作网络分析
3. SDEs对破骨细胞分化和骨吸收的影响
作者使用人PBMC衍生的破骨细胞作为模型,用来自骨质疏松症或骨质缺乏患者的SDE培养TRAP阳性多核破骨细胞,发现其数量、重排面积显著高于用来自老年正常志愿者的SDE培养的破骨细胞。用来自年轻志愿者的SDE和老年正常志愿者的SDE处理的破骨细胞的数量和面积没有显着差异。此外,用来自骨质疏松症或骨质缺乏患者的SDE培养的破骨细胞的骨吸收明显强于用老年正常志愿者的SDE培养的破骨细胞的骨吸收(图4)。这些结果表明来自骨质疏松症和骨质缺乏患者的SDE在体外促进破骨细胞形成。
【文献解读】热点!外泌体蛋白质组学精选好文,请收入囊中!
图4 SDE调节破骨细胞分化和骨吸收
4. SDEs对成骨细胞骨形成的影响
用骨质缺乏患者的SDE培养21天的人成骨细胞系hFOB1.19的碱性磷酸酶(ALP)水平高于用老年正常志愿者的SDE培养的细胞。而用来自骨质疏松症患者的SDE培养的hFOB1.19细胞中的ALP水平显著低于用来自老年正常志愿者的SDE培养的细胞中的ALP水平(图5)。此外,用来自老年正常志愿者的SDE培养的hFOB1.19细胞的ALP水平高于用来自年轻正常志愿者的SDE培养的细胞的ALP水平。利用含有维生素C和β-甘油磷酸盐的成骨培养基诱导MC3T3-E1细胞后15天,在来自骨质疏松症患者的SDE存在下培养的组中首次观察到矿化结节。这表明骨质缺乏患者和老年正常志愿者的SDE促进体外成骨细胞形成,而骨质疏松症患者的SDE抑制成骨中的成骨细胞形成。
【文献解读】热点!外泌体蛋白质组学精选好文,请收入囊中!
图5 SDE通过成骨细胞调节骨形成
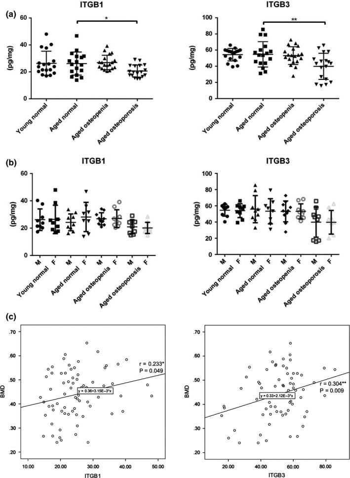
5. ELISA验证蛋白质表达水平
作者选择72个血清样本中整合素β1、β3进行ELISA验证,结果和组学结果一致。此外,ELISA数据还表明,每组男性和女性患者的这些蛋白质水平没有显著差异,外泌体整合素β1、β3与骨密度成正相关。
【文献解读】热点!外泌体蛋白质组学精选好文,请收入囊中!
 
图6  通过ELISA验证蛋白质表达水平以及外泌体蛋白质和BMD变化之间的相关性分析
文章小结
骨质疏松症患者SDE中的蛋白质变化不仅抑制整合素介导的成骨细胞的机械感觉和活化,还引发破骨细胞的分化和再吸收。相比之下,骨质缺乏患者SDE促进了破骨细胞的活化和新骨质的形成,这可能导致骨重建的代偿性升高。这些研究成果将有助于阐明SDE的病理生理功能,并有助于老年骨质疏松症诊断和治疗的发展。
解析文献
Y Xie , Y Gao, et al. Involvement of serum-derived exosomes of elderly patients with bone loss in failure of bone remodeling via alteration of exosomal bone-related proteins. Aging Cell, 2018 , 17 (3)
参考文献
1. Foster, L. J., Zeemann, P. A., et al. Differential expression profiling of membrane proteins by quantitative proteomics in a human mesenchymal stem cell line undergoing osteoblast differentiation. Stem Cells (Dayton, Ohio), 2005, 23, 1367–1377.
2. Choi, D. S., Yang, J. S., et al. The protein interaction network of extracellular vesicles derived from human colorectal cancer cells. Journal of Proteome Research, 2012, 11, 1144–1151. https://doi.org/10.1021/pr200842h
3. Hoshino, A., Costa-Silva, B., et al. Tumour exosome integrins determine organotropic metastasis. Nature,2015, 527, 329–335. https://doi.org/10.1038/nature15756
4. Chen, Y., Xie, Y., et al. Protein content and functional characteristics of serum-purified exosomes from patients with colorectal cancer revealed by quantitative proteomics. International Journal of Cancer, 2017, 140, 900–913.

上一篇

金开瑞诚邀您参加第十届中国蛋白质组学大会

下一篇

【文献解读】IF=11! 转录组和蛋白质组联合分析海马体不同区域应激反应机制

更多资讯

我的询价